Ykhoaso's blog

Đột quỵ xuất huyết não

Twitter card
Published on
/33 mins read/---

GIỚI THIỆU

Xuất huyết não được chia làm hai loại là xuất huyết não nguyên phát và xuất huyết não thứ phát.

Xuất huyết não nguyên phát và xuất huyết não thứ phát.

Xuất huyết não nguyên phát điển hình là do căn nguyên của bệnh lý mạch máu nhỏ. Thứ nhất, quá trình tăng huyết áp kéo dài dẫn tới các bệnh lý mạch máu do tăng áp lực gây ra các thoái hóa vi thể của thành mạch máu nhỏ tới mạch máu xiên được biết đến như là sự thoái hóa mỡ kính (lipohyalinosis). Thứ hai, sự lắng đọng vi tinh bột (amyloid) vào thành mạch máu nhỏ màng mềm hay mạch máu vỏ não gây ra mất các tế bào cơ trơn, gây dày thành mạch làm hẹp lòng dẫn tới hình thành các vi phình mạch nhỏ và chảy máu nhỏ. Theo sau sự vỡ của thành mạch, máu chảy ra gây cơ chế chấn thương trực tiếp cho nhu mô não liền kề. Sự phù xung quanh khối máu phát triển trong vòng 3 giờ đầu kể từ khi xuất hiện triệu chứng và đạt đỉnh trong khoảng giữa 10 tới 20 ngày. Tiếp đó, máu và huyết tương thúc đẩy các tiến trình gây tổn thương thứ phát bao gồm phản ứng viêm, sự hoạt hóa chu trình đông máu, và lắng đọng sắt từ sự thoái hóa hemoglobin. Cuối cùng, khối máu có thể tiếp tục to ra trong khoảng 38% các bệnh nhân trong vòng 24 giờ đầu. Khi khối máu đủ lớn có thể gây ra hiệu ứng khối chèn ép gây các thoát vị não, giãn hệ thống não thất hay tăng áp lực nội sọ. Khi có chảy máu trong khoang dưới nhện, máu có thể gây ra tình trạng co mạch cấp tính, kết tập tiểu cầu vi mạch dẫn tới giảm tưới máu và thiếu máu não.

Xuất huyết não thứ phát là do các căn nguyên dị dạng mạch máu (phình mạch, thông động-tĩnh mạch, rò động-tĩnh mạch màng cứng, dị dạng mạch thể hang), chuyển dạng chảy máu sau nhồi máu, bệnh lý đông máu, các khối u...

Về mặt vị trí, chảy máu trong não không do chấn thương được chia thành chảy máu dưới màng cứng, chảy máu ở khoang dưới nhện, chảy máu trong nhu mô não và chảy máu trong não thất. Vị trí của chảy máu trong não gợi ý một phần nào đó về nguyên nhân gây chảy máu. Chảy máu não nguyên phát thường hay trong bệnh cảnh tăng huyết áp thì vị trí chảy máu hay gặp là ở trong nhu mô não sâu bao gồm nhân nền, thân não và tiểu não. Chảy máu do căn nguyên thứ phát được nghĩ đến khi vị trí chảy máu không điển hình ở vùng của chảy máu nguyên phát như xuất huyết dưới nhện, chảy máu trong nhu mô thùy não, chảy máu trong não thất và dưới màng cứng. Trong xuất huyết dưới nhện, nguyên nhân thường gặp là phình mạch não vỡ chiếm 85%. Trong xuất huyết nhu mô thùy não hoặc xuất huyết não thất, nguyên nhân thường gặp là dị dạng thông động-tĩnh mạch não (AVM). Còn trong xuất huyết dưới màng cứng, có thể đi kèm xuất huyết nhu mô thùy não, nguyên nhân có thể do rò động-tĩnh mạch màng cứng.

Xem thêm về thảo luận chi tiết: Xuất huyết nội sọ và xuất huyết dưới nhện.

NGUYÊN NHÂN

Các yếu tố nguy cơ

Nguy cơ đột quỵ xuất huyết tăng lên khi có một trong các yếu tố sau:

  • Tuổi cao
  • Tiền sử đột quỵ
  • Nghiện rượu
  • Nghiện ma túy (cocaine, heroine)

Nguyên nhân

  • Tăng huyết áp.
  • Bệnh mạch máu não dạng bột (amyloidosis).
  • Các bệnh rối loạn đông máu.
  • Điều trị thuốc chống đông máu.
  • Liệu pháp tiêu sợi huyết trong điều trị nhồi máu cơ tim cấp hoặc đột quỵ thiếu máu não cấp tính (có thể gây xuất huyết não).
  • Dị dạng động tĩnh mạch, phình động mạch và các dị tật mạch máu khác (u tĩnh mạch và xoang hang).
  • Viêm mạch.
  • Khối tân sinh trong sọ.

CHẨN ĐOÁN

Khai thác tiền sử

  • Cần khai thác được một tiền sử đầy đủ bao gồm thời gian khởi phát và tiến triển của các triệu chứng, cũng như đánh giá các yếu tố nguy cơ và các nguyên nhân có thể.
  • Chú ý tiền sử chấn thương của người bệnh ngay cả khi còn nhỏ.

Khám lâm sàng

Khám toàn thân

  • Thăm khám bệnh nhân XHN phải chú ý đánh giá các dấu hiệu sinh tồn.
  • Khám toàn thân và tập trung vào đầu, tim, phổi, bụng, tứ chi và khám thần kinh kỹ lưỡng nhưng nhanh chóng.
  • Tăng huyết áp (đặc biệt HA tâm thu lớn > 220 mm Hg) thường gặp đột quỵ xuất huyết. Huyết áp cao nhiều kèm theo sốt thường là biểu hiện tổn thương thần kinh nặng, tiên lượng xấu.

Phát hiện các dấu hiệu thần kinh khu trú

Dấu hiệu thần kinh khu trú phụ thuộc vào khu vực não bị tổn thương. Nếu tổn thương bán cầu chiếm ưu thế (thường là bên trái), thăm khám lâm sàng có thể thấy những dấu hiệu và triệu chứng sau:

  • Liệt nửa người phải
  • Mất cảm giác nửa người phải
  • Nhìn sang trái
  • Mất thị trường phải
  • Thất ngôn
  • Quên nửa thân bên liệt (không điển hình)

Nếu tổn thương bán cầu không chiếm ưu thế (thường là bên phải), người bệnh có thể có:

  • Liệt nửa người trái
  • Mất cảm giác nửa người trái
  • Mắt nhìn sang phải
  • Mất thị trường bên trái

Nếu tiểu não bị tổn thương, bệnh nhân có nguy cơ cao bị thoát vị và chèn ép não. Thoát vị có thể làm giảm nhanh mức độ ý thức và có thể dẫn đến ngừng thở hoặc tử vong.

Các các vị trí đặc hiệu liên quan đến những dấu hiệu thần kinh khu trú trong xuất huyết não bao gồm:

  • Nhân bèo: liệt nửa người bên đối diện, mất cảm giác bên đối diện, liệt vận động nhãn cầu bên đối diện, bán manh cùng bên, thất ngôn, quên nửa bên liệt, hoặc mất vận động tự chủ bên liệt
  • Đồi thị: mất cảm giác bên đối diện, liệt nửa người bên đối diện, liệt vận nhãn, bán manh cùng bên, co đồng tử, thất ngôn, hoặc nhầm lẫn
  • Xuất huyết thùy não: liệt, mất cảm giác nửa người bên đối diện, liệt vận nhãn bên đối diện, bán manh cùng bên, thất ngôn, quên nửa người bên liệt, hoặc mất vận động tự chủ bên liệt
  • Nhân đuôi: liệt nửa người bên đối diện, liệt vận nhãn, hoặc nhầm lẫn
  • Cuống đại não: liệt tứ chi, liệt mặt, giảm ý thức, liệt vân nhãn, co đồng tử
  • Tiểu não: liệt mặt, mất cảm giác; liệt vân nhãn, co đồng tử, hoặc giảm mức độ ý thức

Các dấu hiệu khác của của tiểu não hoặc thân não gồm:

  • Dáng đi hoặc vận động tay chân mất điều hòa
  • Chóng mặt hoặc ù tai
  • Buồn nôn và nôn
  • Liệt nửa người hoặc liệt tứ chi
  • Mất cảm giác nửa người hoặc mất cảm giác của cả 4 chi
  • Bất thường vận nhãn dẫn đến nhìn đôi hoặc chứng rung giật nhãn cầu
  • Suy giảm chức năng hầu họng hoặc khó nuốt
  • Dấu hiệu bắt chéo (mặt cùng bên và cơ thể đối bên)

Các triệu chứng xuất huyết dưới nhện:

  • Đột ngột đau đầu dữ dội
  • Dấu hiệu màng não với gáy cứng
  • Chứng sợ ánh sáng và đau khi cử động mắt
  • Buồn nôn và nôn
  • Ngất: kéo dài hoặc không điển hình

Nhiều hội chứng đột quỵ khác có liên quan đến xuất huyết nội sọ, từ đau đầu nhẹ đến suy giảm nặng nề chức năng thần kinh. Đôi khi, xuất huyết não có thể biểu hiện bằng một cơn động kinh mới khởi phát.

Cận lâm sàng

Các dấu hiệu lâm sàng thì không đặc hiệu để chẩn đoán phân biệt xuất huyết não với nhồi máu não hay với các bệnh lý khác có biểu hiện giống đột quỵ bởi vậy chẩn đoán xác định xuất huyết não phải dựa vào hình ảnh học thần kinh (chụp cắt lớp vi tính hoặc chụp cộng hưởng từ sọ não).

Chụp cắt lớp vi tính (CT) sọ não

CT sọ não không tiêm thuốc cản quang là một kỹ thuật nhanh với độ nhạy rất cao để xác định xuất huyết não cấp tính, và do tính khả dụng cao của nó mà đây được coi như tiêu chuẩn vàng để chẩn đoán xác định xuất huyết não trong các khoa cấp cứu.

CT sọ não ngoài việc chẩn đoán xác định xuất huyết não, còn cung cấp thêm các thông tin hữu ích khác bao gồm vị trí, lan rộng vào não thất, giãn não thất, sự xuất hiện và mức độ phù não, và sự đè đẩy đường giữa cũng như thân não thứ phát do hiệu ứng khối của khối máu. Thể tích khối máu nội sọ là yếu tố dự báo mạnh mẽ đầu ra lâm sàng của bệnh nhân và có thể xác định được nhanh chóng ở khoa cấp cứu dựa vào kỹ thuật đo ABC/2.

Tính thể tích khối máu tụ

NOTE

  • Chọn lát cắt ngang của CT có vùng chảy máu lớn nhất
  • Đo đường kính lớn nhất (A) và đường kính vuông góc với nó (B).
  • Đường kính C được tính bằng độ dày lát cắt của phim chụp nhân với số lát cắt quan sát thấy khối máu.
  • A, B, C được đo theo cm.
  • Thể tích khối máu V=ABC/2 có đơn vị cm3 hay mL.

Hình ảnh xuất huyết não cấp tính trên CT sọ não thì dễ nhận biết do đặc trưng bởi hình ảnh tăng tỷ trọng so với nhu mô não (trừ khi số lượng máu quá ít). Sự thoái triển của khối máu được đánh dấu bởi sự giảm tỷ trọng dần của khối máu cho tới khi bị dịch hóa hoàn toàn ở giai đoạn mạn tính.

Chụp cắt lớp vi tính mạch não (CT-A)

Đây là kỹ thuật chẩn đoán không xâm lấn hữu ích trong bệnh cảnh xuất huyết não cấp giúp phát hiện các bất thường mạch máu là nguyên nhân của xuất huyết não.

Các yếu tố nên đặt ra nghi ngờ có bất thường mạch não bao gồm: xuất huyết dưới nhện, xuất huyết não ở thùy não, xuất huyết não thất nhiều, tuổi trẻ và không có các yếu tố nguy cơ bệnh lý mạch não (như tăng huyết áp).

Ngoài phát hiện nguyên nhân bất thường mạch máu thì dấu hiệu thoát thuốc cản quang bên trong khối máu trên CT mạch não là một dấu hiệu chỉ điểm dự báo sự lan rộng của khối máu và đầu ra lâm sàng kém cho bệnh nhân. Dấu hiệu thoát thuốc rất có ích giúp định hướng cho phẫu thuật viên trong quá trình phẫu thuật lấy khối máu tụ.

Một số điểm bất lợi của phương pháp này là nguy cơ nhiễm xạ tăng lên cũng như là nguy cơ của thuốc cản quang gây dị ứng hay suy thận tăng lên.

Một số nguyên nhân mạch máu gây xuất huyết não thường gặp trong thực hành lâm sàng bao gồm: phình động mạch não, dị dạng thông động tĩnh mạch não (AVM), dị dạng rò động tĩnh mạch màng cứng (dAVF), huyết khối xoang tĩnh mạch não.

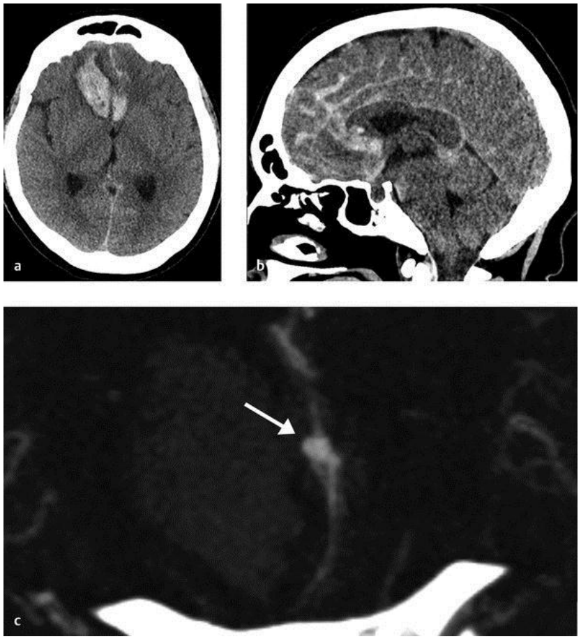
Hình ảnh xuất huyết dưới nhện và trong nhu mô não do phình mạch não vỡ
Hình ảnh xuất huyết dưới nhện và trong nhu mô não do phình mạch não vỡ (hình mũi tên chỉ trên CT mạch).

Chụp cộng hưởng từ(MRA) sọ não

Cộng hưởng từ (MRA) có độ nhạy để chẩn đoán xuất huyết não tương đương với CT sọ não không tiêm thuốc cản quang. MRA có thể phát hiện các nguyên nhân gây xuất huyết não như các u não chảy máu hay nhồi máu chuyển dạng chảy máu. Ở các bệnh nhân suy thận hay dị ứng thuốc cản quang thì việc đánh giá mạch não có thể thực hiện được thông qua MRA mạch máu mà không cần tiêm chất tương phản. Tuy nhiên, do giá thành cao, việc thăm khám kéo dài và tính khả dụng thấp hơn CT sọ não nên MRA ít khi được sử dụng để chẩn đoán xuất huyết não trong bệnh cảnh cấp cứu.

Hình ảnh xuất huyết não trên MRA có thể đặt ra nhiều thách thức do biểu hiện của máu thay đổi theo các chuỗi xung, thời gian kể từ lúc bắt đầu chảy máu, kích thước và vị trí chảy máu.

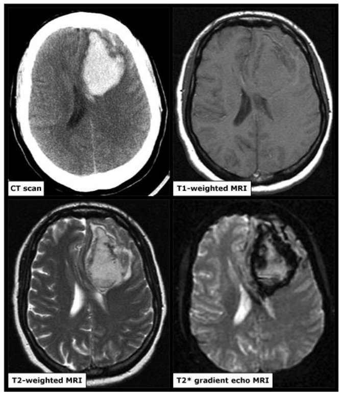
Hình ảnh CT và MRI của một bệnh nhân xuất huyết não cấp
Hình ảnh CT và MRI của một bệnh nhân xuất huyết não cấp trong thời gian 6 giờ kể từ khi xuất hiện triệu chứng. Hình ảnh CT sọ não thấy ổ tăng tỷ trọng nằm trong nhu mô thùy trán trái so với nhu mô não giúp khẳng định chẩn đoán xuất huyết não cấp. Trên MRI hình ảnh ổ xuất huyết này thay đổi trên các chuỗi xung: đồng tín hiệu trên xung T1 và tăng tín hiệu trên xung T2W và vùng viền giảm tín hiệu trên T2*.

ĐIỀU TRỊ NỘI KHOA

Nguyên tắc chung

Điều trị bệnh nhân XHN phụ thuộc vào nguyên nhân và mức độ xuất huyết. Kiểm soát các dấu hiệu sinh tồn, chảy máu, co giật, huyết áp và áp lực nội sọ. Các thuốc sử dụng trong điều trị đột quỵ cấp bao gồm:

  1. Thuốc chống động kinh: dự phòng co giật.
  2. Thuốc hạ áp: kiểm soát huyết áp và các yếu tố nguy cơ bệnh tim mạch.
  3. Lợi tiểu thẩm thấu: giảm áp lực nội sọ trong khoang dưới nhện.

Xử trí bắt đầu bằng ổn định các dấu hiệu sinh tồn: đặt ống nội khí quản kiểm soát đường thở nếu bệnh nhân suy giảm ý thức, có nguy cơ suy hô hấp, thở máy kiểu tăng thông khí kết hợp truyền mannitol tĩnh mạch nếu có tăng áp lực nội sọ, đồng thời chụp CT sọ não cấp cứu. Theo dõi đường máu và dự phòng viêm loét dạ dày tá tràng.

Xem thêm về thở máy ở bệnh nhân có nguy cơ tăng ICP: Thở máy cho bệnh nhân chấn thương đầu

Điều trị cụ thể

Kiểm soát cơn co giật

  • Triệu chứng co giật sớm xảy ra ở 4-28% bệnh nhân xuất huyết não, thường không phải là cơn động kinh.
  • Các thuốc thường dùng là nhóm benzodiazepin như lorazepam hoặc diazepam. Có thể dùng thêm liều nạp phenytoin hoặc fosphenytoin để kiểm soát lâu dài.

Dự phòng động kinh

Chỉ định:

  • Bệnh nhân xuất huyết thùy não để giảm nguy cơ co giật.
  • Bệnh nhân xuất huyết dưới nhện do vỡ phình mạch.

Không khuyến cáo dùng kéo dài thuốc dự phòng động kinh nhưng có thể cân nhắc ở các bệnh nhân có tiền sử co giật, tụ máu trong não, tăng huyết áp khó kiểm soát, nhồi máu hoặc phình động mạch não giữa.

Xem thêm: Trạng thái động kinh

Kiểm soát huyết áp

  • Nếu huyết áp tâm thu >200 mmHg hoặc huyết áp trung bình > 150 mmHg: hạ áp bằng thuốc truyền tĩnh mạch, theo dõi huyết áp cứ mỗi 5 phút/lần.
  • Nếu huyết áp tâm thu >180 mmHg hoặc huyết áp trung bình > 130 mmHg kèm theo tăng áp lực nội sọ: theo dõi áp lực nội sọ và hạ áp bằng thuốc truyền tĩnh mạch, duy trì áp lực tưới máu não ≥ 60 mmHg.
  • Nếu huyết áp tâm thu >180 mmHg hoặc huyết áp trung bình > 130 mmHg và không có triệu chứng tăng áp lực nội sọ: hạ huyết áp tối thiểu (đích huyết áp 160/90 mmHg hoặc huyết áp trung bình 110 mmHg) bằng thuốc truyền tĩnh mạch, theo dõi tình trạng lâm sàng, huyết áp mỗi 15 phút.
  • Với các bệnh nhân xuất huyết dưới nhện do vỡ phình mạch, AHA/ASA 2012 khuyến cáo hạ huyết áp xuống dưới 160 mmHg để giảm nguy cơ chảy máu tái phát.
  • Theo ACP (American College of Physicians) và AAFP (American Academy of Family Physicians) 2017: có thể xem xét bắt đầu điều trị cho các bệnh nhân có huyết áp tâm thu ≥ 150 mmHg đưa về đích huyết áp < 150 mmHg để giảm thiểu nguy cơ đột quỵ, các biến cố tim và tử vong.
Các thuốc hạ huyết áp thường dùng theo đường tĩnh mạch
Labetalol 10 to 20 mg truyền TM 1-2 phút, có thể nhắc lại 1 lần; hoặc
Nicardipine 5 mg/h truyền TM, điều chỉnh liều 2.5 mg/h mỗi 5-15 phút, tối đa 15 mg/h cho đến khi đạt HA mục tiêu, chỉnh liều để có HA trong giới hạn phù hợp; hoặc
Clevidipine 1-2 mg/h truyền TM, điều chỉnh liều tăng gấp đôi mỗi 2- 5 phút, tối đa 21 mg/h cho đến khi đạt HA mục tiêu (khuyến cáo 2018 cho đột quỵ thiếu máu não); hoặc
Nếu HA không kiểm soát được hoặc HA tâm trương > 140 mmHg thì cần chỉ định truyền tĩnh mạch sodium nitroprusside
Các thuốc khác (hydralazine, enalaprilat...) đều có thể sử dụng

Xem thêm: Tiếp cận tăng huyết áp cấp cứu

Kiểm soát áp lực nội sọ

  • Nâng đầu cao 30 độ, không nằm nghiêng giúp cải thiện dòng trở về tĩnh mạch trung tâm, làm giảm áp lực nội sọ.
  • Có thể cho an thần, gây mê nếu cần thiết.
  • Sử dụng thuốc bảo vệ dạ dày dự phòng loét dạ dày ở bệnh nhân XHN.
  • Các điều trị hỗ trợ khác bao gồm: truyền mannitol hoặc muối ưu trương, gây mê bằng barbiturat, dùng thuốc ức chế thần kinh cơ, theo dõi liên tục áp lực nội sọ và huyết áp để đảm bảo áp lực tưới máu não ≥ 70 mmHg.

Xem thêm: Tăng áp lực nội sọ

Điều trị xuất huyết não liên quan tới thuốc chống đông

Bệnh nhân dùng thuốc chống đông warfarin bị XHN nhiều hơn và hơn 50% bệnh nhân tử vong trong vòng 30 ngày. Cần bình ổn tỷ lệ Prothrombin để ngăn chặn XHN tiến triển bằng:

  • Tiêm tĩnh mạch thuốc vitamin K.
  • Truyền huyết tương tươi đông lạnh (FFP).
  • Truyền phức hợp prothombin cô đặc (PCC).
  • Truyền tĩnh mạch rFVIIa.

Dùng vitamin K cần thời gian ít nhất 6 giờ để đưa INR về bình thường, do đó nên kết hợp thêm với FFP hoặc PCC. (xem phụ lục: Xử trí cấp cứu chảy máu nặng liên quan đến thuốc chống đông kháng vitamin K).

  • Các bệnh nhân đang dùng heparin (trọng lượng phân tử thấp hoặc không phân đoạn) bị xuất huyết não cần được tiêm protamin trung hòa. Liều protamin phụ thuộc vào liều heparin và thời điểm cuối dùng heparin trước đó.
  • Các bệnh nhân thiếu hụt nặng yếu tố đông máu có thể bị xuất huyết não tự phát nên được truyền bổ sung các yếu tố thay thế

Điều trị xuất huyết não liên quan đến thuốc kháng kết tập tiểu cầu

  • Khuyến cáo AHA/ASA 2010 về xử trí xuất huyết não tự phát khuyến cáo chỉ truyền tiểu cầu khi xuất huyết não kèm giảm tiểu cầu nặng.

Phối hợp thuốc Statin

Nhiều nghiên cứu chứng minh bệnh nhân xuất huyết não được dùng statin có kết quả tốt hơn về kết cục lâm sàng sau xuất huyết não. Trên lâm sàng hay chỉ định:

  • Atorvastatin 10 - 40 mg/ngày.
  • Rosuvastatin 10 - 20 mg/ngày.

ĐIỀU TRỊ PHẪU THUẬT

Vai trò của phẫu thuật đối với xuất huyết nội sọ vùng trên lều vẫn còn đang tranh luận. Một phân tích gộp về phẫu thuật trong xuất huyết não cho thấy có bằng chứng cải thiện lâm sàng ở những bệnh nhân:

  • Phẫu thuật trong thời gian 8h sau khởi phát.
  • Thể tích khối máu tụ 20-50 ml.
  • Điểm Glasgow 9-12 điểm.
  • Bệnh nhân 50-69 tuổi.
  • Bệnh nhân tụ máu trong nhu mô mà không có chảy máu não thất có thể can thiệp an toàn.
  • Phẫu thuật có hiệu quả ở các bệnh nhân xuất huyết nhu mô não nếu đường kính khối máu tụ > 3cm, nhằm dự phòng tụt kẹt thân não.

ĐIỀU TRỊ CAN THIỆP NỘI MẠCH

Điều trị can thiệp mạch được đặt ra đối với xuất huyết não có nguyên nhân thứ phát do bất thường mạch máu bao gồm phình động mạch não, dị dạng thông động-tĩnh mạch não, rò động tĩnh mạch màng cứng não.

Phình động mạch não

Phình động mạch não vỡ là nguyên nhân của 85% các ca chảy máu dưới nhện không do chấn thương.

Phình động mạch não được phân loại theo hình dạng bao gồm phình hình túi (saccular aneurysm), phình hình thoi (fusiform aneurysm), phình do lóc tách mạch (dissecting aneurysm), phình dạng fusi-sacciform trong bệnh lý giãn phình (dolichoectasia), phình dạng bọng nước (blister aneurysm). Phình hình túi chiếm phần lớn trong số phình mạch não. Phình hình túi được chia làm hai loại liên quan đến việc điều trị bao gồm phình cổ hẹp và phình cổ rộng. Phình cổ rộng được định nghĩa là túi phình có cổ ≥ 4mm hoặc tỉ lệ đường kính đáy/cổ <1.5.

Việc chẩn đoán và điều trị gây tắc phình động mạch não vỡ được thực hiện theo các khuyến cáo của hiệp hội đột quỵ Châu Âu và Mỹ. Chẩn đoán phình mạch não vỡ dựa vào chụp CT mạch máu, cộng hưởng từ mạch máu hoặc chụp mạch số hóa xóa nền (DSA) trong đó chụp DSA là tiêu chuẩn vàng để chẩn đoán.

Hai phương pháp được lựa chọn bao gồm phẫu thuật hoặc can thiệp nội mạch. Việc lựa chọn phương pháp điều trị tùy thuộc vào hình dạng, vị trí, kích thước túi phình cũng như tuổi, các bệnh lý đi kèm cũng như là lựa chọn của bệnh nhân. Thử nghiệm lâm sàng ISAT (International Subarachonoid Aneurysm Trial) khuyên chọn can thiệp nội mạch nút coils nếu túi phình vỡ có thể được điều trị bởi cả hai phương pháp là như nhau. Hơn nữa, các túi phình có cổ nhỏ hay ở vòng tuần hoàn sau, bệnh nhân cao tuổi thì nên điều trị bằng nút coils. Các yếu tố ủng hộ phẫu thuật bao gồm các túi phình có cổ rộng, có nhánh mạch tách từ túi phình, phình động mạch não giữa, phình quanh trai hoặc bệnh nhân có khối máu tụ nhu mô đi kèm.

Trong can thiệp nội mạch, phương pháp nút coils đơn thuần được ưu tiên lựa chọn đối với phình hình túi cổ hẹp. Đối với phình hình túi cổ rộng thì có thể lựa chọn can thiệp nút coils có bóng chẹn cổ hoặc nút coils có stent hỗ trợ hoặc đặt lồng WEB. Đối với phình hình thoi, phình lóc tách đã vỡ thì phương pháp bảo tồn (bằng đặt stent chuyển hướng dòng chảy) hoặc phương pháp gây tắc mạch nuôi có hiệu quả gây tắc túi phình tương tự nhau tuy nhiên phương pháp bảo tồn nên được ưu tiên nếu có khả năng thực hiện. Đối với phình hình bọng nước (blister aneurysm), việc điều trị hiện nay còn gặp nhiều khó khăn và còn nhiều tranh cãi thì đặt stent chuyển dòng hiện đang là phương pháp được cân nhắc đầu tay để điều trị.

Túi phình động mạch
Bệnh nhân nam 67 tuổi có xuất huyết dưới nhện lan tỏa (Fisher 4) do vỡ túi phình thông trước (phát hiện bằng CT mạch máu). Túi phình sau đó được can thiệp nút tắc hoàn toàn bằng coils có bóng hỗ trợ.

Thông động-tĩnh mạch não (AVM)

Thái độ xử trí đối với dị dạng thông động-tĩnh mạch não đã được hiệp hội Tim mạch và đột quỵ Hoa Kỳ đưa ra vào năm 2017. Nút mạch đối với dị dạng AVM có xuất huyết não cấp thường đặt ra để điều trị chảy máu do phình mạch cạnh ổ nidus dị dạng hoặc nút tắc chọn lọc điểm chảy máu giảm nguy cơ chảy máu tái phát. Sau giai đoạn cấp khi mà khối máu tụ đã tiêu hết (khoảng 4-6 tuần), thì việc nút mạch điều trị dị dạng AVM tùy thuộc vào mục tiêu cụ thể cho từng bệnh nhân bao gồm nút mạch triệt để dị dạng (qua đường động mạch hoặc tĩnh mạch), nút mạch giảm một phần thể tích nidus trước mổ giúp giảm nguy cơ phẫu thuật hoặc nút mạch một phần dị dạng phối hợp với xạ phẫu.

Dị dạng mạch AVM vỡ
Bệnh nhân nữ 67 tuổi có xuất huyết lớn trong nhu mô thái dương-phải do dị dạng AVM vỡ. Dị dạng mạch này được can thiệp nút tắc chọn lọc một phần chảy máu bằng Onyx.

Rò động-tĩnh mạch màng cứng não (dAVF)

Thái độ xử trí đối với rò động tĩnh mạch màng cứng có xuất huyết nội sọ được hướng dẫn theo khuyến cáo của hiệp hội Tim mạch và đột quỵ Hoa Kỳ năm 2015. Can thiệp mạch là điều trị đầu tay được lựa chọn để điều trị thông động tĩnh mạch màng cứng não. Tuy nhiên, thời điểm điều trị thường không được đặt ra trong pha cấp mà thường được tiến hành sau khi khối máu tụ đã tiêu đi (khoảng 4 đến 6 tuần).

DẪN LƯU NÃO THẤT

  • Dẫn lưu não thất thường được thực hiện trong trường hợp não úng thủy do biến chứng xuất huyết gây chèn ép não thất ba hoặc não thất bốn.
  • Dẫn lưu não thất có thể làm tăng nguy cơ nhiễm khuẩn bao gồm cả viêm màng não do vi khuẩn.

TIÊN LƯỢNG VÀ DỰ PHÒNG

Tiên lượng

Tiên lượng ở bệnh nhân đột quỵ xuất huyết thay đổi tùy theo mức độ nghiêm trọng của đột quỵ, vị trí và kích thước của xuất huyết. Thang điểm Glasgow (GCS) thấp có liên quan đến tiên lượng kém hơn và tỷ lệ tử vong cao hơn. Kích thước vùng xuất huyết lớn có liên quan đến tiên lượng kém hơn. Tăng kích thước của khối lượng máu tụ có liên quan đến kết quả chức năng kém hơn và tỷ lệ tử vong tăng.

Điểm xuất huyết nội sọ ICH Score là công cụ phổ biến nhất được sử dụng để dự đoán kết quả trong đột quỵ xuất huyết.

Trong một nghiên cứu của Hemphill và cộng sự, tất cả các bệnh nhân có điểm xuất huyết nội sọ là 0 đều sống sót và tất cả những người có điểm 5 đều đã chết; Tỷ lệ tử vong trong 30 ngày tăng theo số điểm.

Các yếu tố tiên lượng khác bao gồm:

  • Đột quỵ xuất huyết quanh cuống não có tiên lượng tốt hơn.
  • Xuất hiện của máu trong não thất có liên quan đến tỷ lệ tử vong cao hơn; trong một nghiên cứu, sự xuất hiện của máu trong não thất có liên quan đến sự gia tăng tỷ lệ tử vong hơn 2 lần.
  • Bệnh nhân bị xuất huyết nội sọ liên quan đến thuốc chống đông đường uống có tỷ lệ tử vong cao hơn và kết quả chức năng kém hơn.

Dự phòng

Điều trị tăng huyết áp

  • AHA/ASA năm 2010 khuyến cáo các bệnh nhân xuất huyết não tự phát mà không có chỉ định dùng thuốc hạ huyết áp thì vẫn cần kiểm soát huyết áp chặt chẽ, nhất là ở những bệnh nhân có vị trí xuất huyết não điển hình do tăng huyết áp. Ngoài ra, khuyến cáo duy trì huyết áp mục tiêu < 140/90 mmHg để dự phòng cơn đột quỵ đầu tiên. Các bệnh nhân tăng huyết áp kèm đái tháo đường hoặc bệnh thận, mục tiêu huyết áp < 130/80 mmHg. Các thuốc hạ áp bao gồm: lợi tiểu thiazid, chẹn kênh canxi, ức chế men chuyển, ức chế thụ thể. Các bệnh nhân có đái tháo đường, sử dụng ức chế men chuyển/ ức chế thụ thể là khuyến cáo IA theo AHA/ASA 2011. Chẹn beta giao cảm thuộc hàng thứ 2 do tác dụng dự phòng các biến cố mạch máu thấp hơn mặc dù tác dụng hạ áp tương đương.
  • Tuy statin được khuyến cáo dự phòng đột quỵ thiếu máu tiên phát (mức bằng chứng IA) đặc biệt nếu kèm yếu tố nguy cơ khác nhưng một số nghiên cứu cho thấy có thể tăng nguy cơ xuất huyết não khi dùng statin. Tuy nhiên, một phân tích meta-analysis trên 31 thử nghiệm ngẫu nhiên có kiểm soát cho thấy điều trị statin không liên quan đến tăng có ý nghĩa xuất huyết não.
  • Trong nghiên cứu HOPE (Heart Outcomes Prevention Evaluation), thêm ramipril vào các điều trị nội khoa khác bao gồm kháng kết tập tiểu cầu, làm giảm nguy cơ tương đối đột quỵ, tử vong và nhồi máu cơ tim 32% so với giả dược. Chỉ 40% hiệu quả của ramipril là do tác dụng hạ áp của thuốc, các cơ chế khác liên quan đến tác dụng bảo vệ nội mạc.
  • Nghiên cứu PROGRESS (Perindopril Protection Against Recurrent Stroke Study) cho thấy perindopril có tác dụng vượt trội so với placebo. Mặc dù bản thân thuốc không ưu thế hơn nhưng khi kết hợp với indapamid giúp làm giảm đột quỵ tái phát, phần lớn hiệu quả này đến từ tác dụng hạ áp, ngược với kết quả của nghiên cứu HOPE về ramipril.
  • Nghiên cứu ALLHAT (Antihypertensive and Lipid-Lowering Treatment to Prevent Heart Attack Trial) cho thấy chlorthalidone hiệu quả hơn một chút so với lisinopril trong dự phòng đột quỵ.
  • Nghiên cứu LIFE (Losartan Intervention for Endpoint Reduction in Hypertension Study) chứng minh rằng ức chế thụ thể (losartan) giảm nguy cơ đột quỵ ưu thế hơn chẹn beta giao cảm (atenolol).
  • Nghiên cứu MOSES (Morbidity and Mortality khó khăn sau đột quỵ, Eprosartan Compared With Nitrendipine for Secondary Prevention) cho thấy eprosartan ưu thế hơn chẹn kênh canxi nitrendipin trong dự phòng thứ phát đột quỵ và tai biến mạch não thoáng qua. Nghiên cứu này tương đối nhỏ và phần lớn các biến cố là tai biến mạch não thoáng qua.

Biện pháp dự phòng không dùng thuốc

  • Ngừng hút thuốc, chế độ ăn ít chất béo, giảm cân, hạn chế ăn muối, tăng cường chế độ ăn giàu kali để giảm huyết áp có tác dụng dự phòng. Ngừng uống rượu, bia do làm tăng nguy cơ xuất huyết não.
  • Tập thể dục là các biện pháp không dùng thuốc được khuyến khích rất mạnh mẽ. Người bình thường nên tập thể dục với cường độ trung bình ít nhất 150 phút mỗi tuần, biện pháp này đã được AHA/ASA nhấn mạnh từ năm 2011.

PHỤC HỒI CHỨC NĂNG SAU ĐỘT QUỴ

Vật lý trị liệu và phục hồi chức năng nên được thực hiện sớm, ngay khi bệnh nhân còn đang nằm trên giường bệnh, thường 24-48h sau đột quỵ. Bệnh nhân sau đột quỵ được phục hồi chức năng tại bệnh phòng điều trị, tại khoa phục hồi chức năng trong viện và khi được ra viện, công tác phục hồi chức năng được tiến hành tại các đơn vị phục hồi chức năng ngoại trú, các cơ sở điều dưỡng và rất quan trọng là có chương trình phục hồi chức năng tại nhà đối với người bệnh.

Bước đầu tiên phục hồi chức năng là thúc đẩy các vận động chủ động của người bệnh. Do nhiều bệnh nhân bị liệt hoặc yếu cơ nên phải thay đổi tư thế bệnh nhân thường xuyên trong khi nằm trên giường và tham gia vào các bài tập vận động thụ động hoặc chủ động để tăng cơ lực chi bị liệt (vận động thụ động là các vận động do bác sỹ thực hiện còn vận động chủ động do bản thân bệnh nhân tự thực hiện).

Vật lý trị liệu và phục hồi chức năng tiến hành phụ thuộc vào nhiều yếu tố bao gồm mức độ tổn thương ban đầu, bệnh nhân có thể ngồi dậy, di chuyển giữa các giường, đứng lên, đi bộ có hoặc không có sự trợ giúp. Nhân viên phục hồi chức năng giúp bệnh nhân có khả năng thực hiện các động tác phức tạp hơn như tắm, mặc quần áo, sử dụng toilet, hỗ trợ vận động chi bị liệt trong khi thực hiện các kỹ năng. Bắt đầu thực hiện các hoạt động cơ bản trong cuộc sống hàng ngày là bước đầu tiên giúp bệnh nhân tự lập.

Những khiếm khuyết cần phục hồi chức năng

  1. Liệt hoặc các vấn đề vận động
  2. Rối loạn cảm giác
  3. Vấn đề ngôn ngữ và chữ viết
  4. Vấn đề về tư duy và trí nhớ
  5. Rối loạn cảm xúc

PHỤ LỤC

Xử trí cấp cứu chảy máu nặng liên quan đến thuốc chống đông kháng vitamin K

A. Nếu có phức hợp tủa yếu tố 4 prothrombin [4-factor prothrombin complex concentrate (4F PCC)]:
1. Truyền 4F PCC* 1500-2000 U¶ trong 10 minutes. Kiểm tra INR 15 phút sau khi kết thúc truyền. Nếu INR không ≤1.5, thì truyền bổ sung.
2. Tiêm vitamin K 10 mg tĩnh mạch chậm.
B. Nếu chỉ có 3F PCC mà không có 4F PCC:
1. Truyền tĩnh mạch 3F PCC* 1500 - 2000 U¶ IV trong 10 phút. Kiểm tra INR 15 phút sau khi kết thúc truyền. Nếu INR không ≤1.5, thì truyền bổ sung 3F PCC.
2. Truyền tĩnh mạch yếu tố VIIa 20 mcg/kg hoặc truyền tĩnh mạch nhanh 2 đơn vị FFP. Yếu tố VIIa có thể là lựa chọn tốt nếu bệnh nhân thừa dịch.
3. Tiêm tĩnh mạch vitamin K 10 mg trong vòng 10-20 phút.
C. Nếu có cả 3F PCC và 4F PCC:
1. Truyền tĩnh mạch nhanh 2 đơn vị FFP. Kiểm tra INR sau kết thúc truyền 15 phút. Nếu INR ≥1.5, truyền nhanh thêm 2 đơn vị. Nhắc lại cho đến khi INR ≤1.5. Có thể dùng lợi tiểu giữa các lần truyền nếu có dấu hiệu quá tải dịch.
2. Tiêm tĩnh mạch vitamin K 10 mg trong vòng 10 – 20 phút.

NOTE

  • PCC: Phức hợp tủa prothrmbin bất hoạt (unactivated prothrombin complex concentrate)
  • 4F PCC: PCC có các yếu tố đông máu II, VII, IX, X, protein S và protein C
  • 3F PCC: PCC chứa các yếu tố II, IX, X và có ít yếu tố VII
  • FFP: huyết tương tươi đông lạnh (fresh frozen plasma)
  • PT: thời gian prothrombin
  • INR: international normalized ratio
  • FEIBA: factor eight inhibitor bypassing agent.

Những chế phẩm này và liều lượng nêu trên chỉ dùng khi chảy máu nặng đe dọa tính mạng bệnh nhân. Cần tìm những dấu hiệu chảy máu nặng nói trên và quá liều thuốc chống đông kháng vitamin K (ví dụ warfarin). Phản ứng phản vệ và truyền máu có thể xảy ra. Nên rã đông 4 đơn vị huyết tương tươi đông lạnh (FFP) trong khi chờ kết quả PT/INR. Đơn vị trữ máu có thể thay thế FFP bằng các chế phẩm huyết tương khác như PF24 vì những chế phẩm này có thể thay thế lẫn nhau trên lâm sàng. PCC có thể đảo ngược tác dụng chống đông của thuốc trong vài phút sử dụng; FFP có thể phải truyền hàng giờ để tránh tăng thể tích đột ngột; vitamin K có hiệu quả sau 12-24h nhưng dùng vitamin K phải tính đến nửa đời sống (half-life) của warfarin. Sau đó theo dõi PT/INR tiếp tục điều trị.

  • Trước khi dùng, kiểm tra tên chế phẩm(3 hoặc 4 yếu tố) và nồng độ. Phức hợp hoạt hóa và các chế phẩm chỉ chứa yếu tố IX (như FEIBA, AlphaNine, Mononine, Immunine, BeneFix) không dùng để đảo ngược tác dụng của warfarin.

¶ PCC là chế phẩm được lựa chọn hàng đầu trong hoàn cảnh cấp cứu. Điều trị căn cứ vào INR và cân nặng bệnh nhân.

TÀI LIỆU THAM KHẢO

  1. Hướng dẫn chẩn đoán và xử trí đột quỵ não. Số 5331/QĐ-BYT. 2020. Bộ Y Tế.